Skip to main content
  • 메뉴
뉴스와이어
  • 로그인
  • 검색
  • 메뉴
  • 검색
뉴스와이어 로고 보도자료 배포 서비스
  • 가이드
  • 언론인
  • 블로그
  • AI 보도자료 작성
  • 로그인
  • 회원 가입
뉴스와이어 Logo
  • 보도자료
  • 서비스
  • 문의
보도자료 등록
  • 최신
  • 기술
  • 산업
  • 문화
  • 생활
  • 건강
  • 경제
  • 금융
  • 운송
  • 레저
  • 교육
  • 사회
  • 환경
  • 정부
  • 상장기업
  • 신상품
  • 영문
  • 기술
    • 가전
    • 게임
    • 과학
    • 네트워킹
    • 데이터 분석
    • 드론
    • 로봇
    • 메타버스
    • 모바일 기기
    • 모바일 앱
    • 반도체
    • 보안
    • 블록체인
    • 소프트웨어
    • 양자와 나노기술
    • 인공지능
  • 기술
    • 인터넷
    • 전자부품
    • 주변기기
    • 컴퓨터
    • 통신
  • 관련 토픽
    • 5세대 이동통신
    • NFT
    • SaaS
    • 바이오테크
    • 사물 인터넷
    • 생성형 AI
    • 스마트폰
    • 스마트홈
    • 스타트업
    • 인공지능
    • 클라우드 서비스
    • 확장 현실
  • 산업
    • 건설과 건축
    • 금속
    • 기계
    • 농업
    • 방위산업
    • 부동산
    • 석유 가스
    • 수산 해양
    • 신재생에너지
    • 임업
    • 전기설비
    • 전력
    • 제조설비
    • 제지 포장
    • 조선
    • 직물
  • 산업
    • 항공우주
    • 화학
  • 관련 토픽
    • 공급망
    • 배터리
    • 수소 에너지
    • 스마트 팩토리
    • 원자력
    • 태양광
  • 문화
    • 공연 예술
    • 디자인
    • 문화유산
    • 미술
    • 방송
    • 소셜 미디어
    • 스트리밍 미디어
    • 신문 잡지
    • 애니메이션
    • 연예인
    • 영화
    • 음악
    • 종교
    • 출판
    • 학술
  • 관련 토픽
    • 무용
    • 문학
    • 뮤지컬
    • 박물관
    • 연극
    • 오페라
    • 웹툰
    • 인플루언서
    • 콘서트
    • 한류
  • 생활
    • 가구
    • 결혼
    • 미용
    • 반려동물
    • 보석류
    • 생활용품
    • 소매
    • 슈퍼마켓
    • 식품 음료
    • 온라인 쇼핑
    • 음식점
    • 의류와 잡화
    • 장난감
    • 주류
    • 출산 육아
    • 화장품
  • 관련 토픽
    • 간편식
    • 명상
    • 뷰티
    • 쇼핑
    • 신제품 출시
    • 요리
    • 유기농
    • 중고 거래
    • 채식
    • 프로모션
  • 건강
    • 감염 관리
    • 건강기능식품
    • 생명공학
    • 의료 기술
    • 의료기기
    • 의료와 병원
    • 의학
    • 임상시험
    • 정신건강
    • 제약
    • 종양
    • 치과
  • 관련 토픽
    • 면역
    • 바이오테크
    • 식품의약품안전처(FDA)
    • 유전자
    • 줄기세포
    • 중독
    • 코로나바이러스
  • 경제
    • 경제 동향
    • 광고와 마케팅
    • 기업 경영
    • 노동
    • 무역과 박람회
    • 아웃소싱
    • 인재와 고용
    • 중소기업
    • 창업
    • 컨설팅
    • 프랜차이즈
    • 환경 사회 지배구조
    • 회계 세무
  • 관련 토픽
    • 마케팅
    • 소상공인
    • 스타트업
    • 일자리
    • 합작
  • 금융
    • 보험
    • 암호화폐
    • 은행과 금융
    • 자산관리
    • 증권
    • 카드
    • 펀드
    • 핀테크
  • 관련 토픽
    • 결제 서비스
    • 나스닥
    • 배당
    • 비트코인
    • 코스닥
    • 코스피
    • 크라우드 펀딩
    • 투자 유치
  • 운송
    • 교통
    • 물류
    • 철도
    • 항공사
    • 해운
    • 자동차
    • 자율주행
  • 관련 토픽
    • 모빌리티
    • 모터쇼
    • 스마트카
    • 전기차
    • 카셰어링
  • 레저
    • 관광명소
    • 스포츠
    • 야외 레저
    • 여행
    • 축제
    • 호텔 숙박
  • 관련 토픽
    • 골프
    • 등산
    • 카지노
    • 캠핑
    • 크루즈
    • 해외여행
    • 휴가
    • 힐링
  • 교육
    • 교육 일반
    • 대학교
    • 온라인 교육
    • 유아교육
    • 중등교육
    • 직업교육
    • 초등교육
    • 학원
  • 관련 토픽
    • 대학입시
    • 영어 교육
    • 졸업·입학
    • 진로교육
    • 청소년
    • 학교
  • 사회
    • 공공 안전
    • 노인
    • 법률
    • 사회복지
    • 여성
    • 외국인
    • 자선사업
    • 장애인
  • 관련 토픽
    • 1인가구
    • MZ세대
    • 로펌
    • 비대면
    • 사회적 기업
    • 재택근무
  • 환경
    • 기후변화와 탈탄소
    • 재활용
    • 친환경 기술
    • 환경 보전
    • 환경 정책
  • 관련 토픽
    • 미세먼지
    • 스마트그리드
    • 에너지 절약
    • 폐기물
  • 정부
    • 공공기관
    • 비영리조직
    • 외교
    • 정당
    • 중앙정부
    • 지방정부
  • 관련 토픽
    • 국회
    • 대사관
    • 대통령
    • 선거
    • 지방자치
  • 상장기업
    • 국내 상장기업
    • 해외 상장기업
  • 메뉴
Korea Newswire Logo
  • 최신
  • 기술
  • 산업
  • 문화
  • 생활
  • 건강
  • 경제
  • 금융
  • 운송
  • 레저
  • 교육
  • 사회
  • 환경
  • 정부
  • 상장기업
  • 검색
    로그인회원 가입
  • 보도자료
    • 최신
    • MY뉴스
    • 사진
    • 동영상
    • 기업 뉴스룸
    • 박람회
    • 토픽
    • RSS 피드
    • 상장기업
    • English
    • AI 보도자료 작성
  • 산업
    • 기술
    • 산업
    • 문화
    • 생활
    • 건강
    • 경제
    • 금융
    • 운송
    • 레저
    • 교육
    • 사회
    • 환경
    • 정부
  • 주제
    • 계약
    • 공모
    • 사업 확장
    • 사회공헌
    • 설립
    • 수상
    • 신상품
    • 실적
    • 연구개발
    • 인사
    • 인수 매각
    • 인증
    • 전시
    • 제휴
    • 조사분석
    • 채용
    • 투자
    • 판촉
    • 행사
  • 지역
    • 서울
    • 인천 경기
    • 대전 충남
    • 광주 전남
    • 부산 울산 경남
    • 대구 경북
    • 강원
    • 충북
    • 전북
    • 제주
    • 해외
  • 서비스
    • 왜 뉴스와이어인가
    • 어떻게 배포하나
    • 보도자료 배포 요금
    • 누가 이용하나
    • 스타트업 홍보 지원
    • 회원 혜택
  • 가이드
    • 개요
    • 보도자료 만들기
    • 보도자료 유형
    • 언론홍보 핸드북
    • 홍보 마케팅 전략보고서
    • 홍보 직무
    • 온라인 강의
    • 자주하는 질문
  • 언론인
    • MY뉴스 소개
    • 보도자료 전송
    • 보도자료 호스팅
  • 회사
    • 블로그
    • 회사 소개
    • 고객센터
  • 보도자료 등록
사이트맵
큐오엘한의원 보도자료

큐오엘한의원 보도자료

이미지동영상
항암 부작용으로 인한 탈모 상태
항암 부작용으로 인한 탈모 상태
2007년 9월 4일 10:54
큐오엘한의원
만다라 빨강: 강력한 치유효과를 가지고 있는 빨간색은 몸과 마음에 변화를 주며, 특히 암환자나 난치병에 탁월한 효과가 있다.
만다라 빨강: 강력한 치유효과를 가지고 있는 빨간색은 몸과 마음에 변화를 주며, 특히 암환자나 난치병에 탁월한 효과가 있다.
2007년 9월 5일 16:20
큐오엘한의원
색채별 만다라
색채별 만다라
2007년 9월 5일 16:20
큐오엘한의원
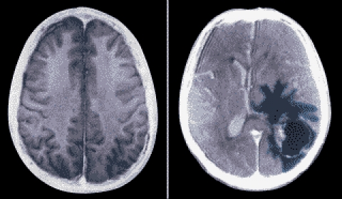
뇌종양의 궁극적인 원인을 치료하는 것이 가장 중요하고, 빠른 길입니다.
뇌종양의 궁극적인 원인을 치료하는 것이 가장 중요하고, 빠른 길입니다.
2007년 9월 10일 10:42
큐오엘한의원
한방에서는 몸과 마음이 따로 분리되어 있지 않다.화를 내면 기가 올라가서 간이 상하며, 공포가 심하면 기가 소모되어 신장이 상한다. 경락의 흐름은 마음의 흐름이며, 몸의 구조 또한
한방에서는 몸과 마음이 따로 분리되어 있지 않다.화를 내면 기가 올라가서 간이 상하며, 공포가 심하면 기가 소모되어 신장이 상한다. 경락의 흐름은 마음의 흐름이며, 몸의 구조 또한 마음상태에 따라 바뀐다.
2007년 9월 10일 10:53
큐오엘한의원
암통증, 암재발 방지-한방으로 치료한다
암통증, 암재발 방지-한방으로 치료한다
2007년 9월 13일 16:38
큐오엘한의원
노인이나 고혈압성 질환자의 경우 날씨가 추운 곳에서는 기온 차가 심하지 않도록 보온에 각별히 신경을 써야 한다.
노인이나 고혈압성 질환자의 경우 날씨가 추운 곳에서는 기온 차가 심하지 않도록 보온에 각별히 신경을 써야 한다.
2007년 9월 28일 18:46
큐오엘한의원
암환자의 면역력 상승을 위한 긴장이완 요법
암환자의 면역력 상승을 위한 긴장이완 요법
2007년 10월 24일 11:04
큐오엘한의원
큐오엘한의원 천연물 한방 암치료제 ‘암다나’, 44~74% 암세포 사멸율 효과
큐오엘한의원 천연물 한방 암치료제 ‘암다나’, 44~74% 암세포 사멸율 효과
2011년 1월 7일 15:44
큐오엘한의원
천연 한방 암치료제 ‘암다나’, SBS 생활경제에 소개
천연 한방 암치료제 ‘암다나’, SBS 생활경제에 소개
2011년 2월 22일 14:20
큐오엘한의원
뉴스와이어 뉴스와이어 뉴스와이어는 보도자료 배포 서비스입니다.보도자료를 등록해 소식을 널리 알리세요. 보도자료 등록
뉴스와이어

뉴스와이어는 국내 1위 보도자료 배포 서비스입니다. 국내 최대 미디어 배포망을 통해 기업의 소식을 언론, 포털, 투자자에게 가장 강력하게 전달합니다.

보도자료 등록
  • 고객센터
  • 02-737-3600
  • 문의하기 
보도자료
  • 최신
  • 분야별
  • 상장기업
  • 영문
서비스
  • 왜 뉴스와이어인가
  • 어떻게 배포하나
  • 서비스 요금
  • 누가 이용하나
가이드
  • 보도자료 만들기
  • 보도자료 유형
  • 자주하는 질문
  • 블로그
언론
  • 언론 서비스
  • MY뉴스 소개
  • 보도자료 전송
  • 보도자료 호스팅
고객센터
  • 02-737-3600
  • 02-737-3600
  • 문의하기 
  • 로그인
  • 회사 소개
  • 이용약관
  • 편집가이드라인
  • 개인정보처리방침
  • 청소년보호정책
  • 파트너 제휴
  • 사이트맵
  • English
  • RSS
서울시 중구 서소문로11길 19 배재정동빌딩 A동 6층
사업자등록번호: 101-86-07713
통신판매업신고: 종로 제01-3225호
인터넷신문등록: 서울 아01386, 2010.10.24
대표이사 발행인: 신동호
편집인: 고미재
청소년 보호책임자: 김영록
Copyright © 2025
  • 메뉴 닫기
뉴스와이어
  • 로그인
  • 검색