- 남부 온타리오 연방경제개발국(Federal Economic Development Agency for Southern Ontario)
- 2016년 1월 13일 23:45
- GE Healthcare
- 캐나다 재생의학 상업화센터(Centre for Commercialization of Regenerative Medicine)
- 2016년 1월 13일 23:45
- GE Healthcare
- JHL 바이오테크, 중국에 혁신적인 바이오시밀러 제조시설 설립
- 2016년 5월 11일 13:15
- GE Healthcare
- GE Healthcare, Vanderbilt University Medical Center partner for safer, more precise immunotherapy cancer treatment
- 2019년 1월 7일 10:15
- GE Healthcare
- Iodine prills – produced by SQM
- 2022년 10월 14일 09:35
- GE Healthcare
- GE Healthcare Announces $80 Million Investment To Expand Contrast Media Production Capacity
- 2022년 11월 18일 14:30
- GE Healthcare
- GE HealthCare is innovating in contrast media (Photo: Business Wire)
- 2023년 3월 2일 11:15
- GE Healthcare
- T cell (orange) interacting with cancer cell (blue) (Graphic: Business Wire)
- 2023년 6월 15일 15:38
- GE Healthcare
- SOFIE and GE HealthCare Enter Licensing Agreement to Develop FAP PET Radiotracers
- 2023년 10월 12일 13:31
- GE Healthcare
- T cells helping immune system to fight cancer cells in response to immunotherapies (Photo: Business Wire)
- 2023년 11월 3일 09:10
- GE Healthcare
- A radiologist looking at MRI exam images (Photo: Business Wire)
- 2024년 10월 8일 08:37
- GE Healthcare
- Nihon Medi-Physics headquarters and woman looking at molecular imaging images (Photo: Business Wire)
- 2024년 12월 2일 14:15
- GE Healthcare
- GE HealthCare’s contrast media manufacturing site in Cork (Photo: Business Wire)
- 2025년 1월 31일 17:24
- GE Healthcare
- Nihon Medi-Physics headquarters and radiopharmaceutical imaging agents about to go through labelling and packing process.
- 2025년 3월 31일 15:40
- GE Healthcare
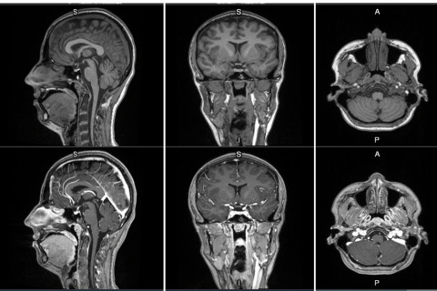
- First-in-human contrast enhanced MRI images with GE HealthCare’s mangaciclanol
- 4월 24일 13:51
- GE Healthcare